

MK International Medical
Dịch vụ y tế cao cấp tại Nhật Bản
- …

MK International Medical
Dịch vụ y tế cao cấp tại Nhật Bản
- …

Nguyên bào sợi da là gì?
Y học tái tạo giúp phục hồi làn da về trạng thái ban đầu

Nguyên bào sợi da (fibrocytes) là các tế bào nằm ở "lớp hạ bì" của da. Chúng có khả năng sản xuất ba thành phần chính tạo nên da—collagen, axit hyaluronic và elastin—cũng như nhiều loại protein khác. Các thành phần này giúp giữ cho da săn chắc và ngậm nước.
Số lượng nguyên bào sợi da bắt đầu giảm sau tuổi 20 và đến tuổi 50, số lượng này giảm xuống còn khoảng một phần ba so với số lượng ở tuổi 20.
Sự suy giảm nguyên bào sợi da là lý do gây ra các triệu chứng lão hóa da như nếp nhăn và chảy xệ.
Ba thành phần chính của da có chức năng gì?
1. Collagen
Các sợi collagen chiếm 70–80% lớp hạ bì và là thành phần quan trọng của lớp hạ bì. Chúng giúp đảm bảo độ săn chắc và đàn hồi của da. Collagen hoạt động như một “trụ cột” trong cấu trúc hấp thụ sốc, hỗ trợ lớp biểu bì và mô dưới da.
2. Axit Hyaluronic
Axit hyaluronic là một polysaccharide có trọng lượng phân tử cao có thể chứa 500 lần trọng lượng của nó trong nước trên một gam. Nó giúp cấp nước cho lớp biểu bì.
3. Elastin
Elastin bao quanh các sợi collagen hoạt động như các trụ cột, mang lại cho da khả năng phục hồi và đàn hồi. Khi bạn ấn vào da bằng ngón tay và da bật trở lại, đó là nhờ chức năng giống như lò xo của các sợi elastin (và collagen).
Điều gì xảy ra nếu số lượng nguyên bào sợi da giảm?
Giảm nguyên bào sợi da có nghĩa là khả năng duy trì độ săn chắc, độ ẩm và độ đàn hồi của da giảm. Nói cách khác, da mất đi độ săn chắc, độ ẩm và độ đàn hồi, khiến da dễ bị nhăn và chảy xệ.
Nhiều phương pháp điều trị sử dụng ánh sáng hoặc nhiệt để kích thích nguyên bào sợi da và thúc đẩy quá trình chữa lành vết thương. Tuy nhiên, ngoài liệu pháp nguyên bào sợi, không có cách trực tiếp nào khác để tăng số lượng nguyên bào sợi da.
Quá trình điều trị bằng liệu pháp sợi nguyên bào da
1Tư vấn và xét nghiệm máu
Thông qua tư vấn chuyên môn, các mối quan tâm và triệu chứng được thảo luận, và tình trạng da được kiểm tra. Nếu quyết định tiến hành điều trị, xét nghiệm máu sẽ được thực hiện vào cùng ngày. Nếu có thể cung cấp kết quả xét nghiệm máu trước khi điều trị, mô da có thể được lấy ngay vào ngày tư vấn.
※Điều trị về cơ bản được thực hiện tại chi nhánh RD Clinic Ginza. Nếu kết quả xét nghiệm bệnh truyền nhiễm là dương tính và không thể thực hiện điều trị tại RD Clinic, vui lòng tham khảo ý kiến riêng của chúng tôi.
2Thu thập mô da và rút máu
Một mảnh mô da nhỏ được lấy từ phía sau tai để sử dụng cho nuôi cấy tế bào. Gây mê được thực hiện trong quá trình này, do đó hầu như không đau.
Da được lấy có kích thước bằng một hạt gạo.
Đồng thời, máu được lấy, cần thiết cho nuôi cấy tế bào. Mẫu da được gửi đến cơ sở nuôi cấy tế bào, nơi các kỹ thuật viên nuôi cấy tế bào được đào tạo sẽ chiết xuất nguyên bào sợi da và nuôi cấy chúng, một quá trình mất khoảng năm tuần.
Các tế bào được nuôi cấy có thể được bảo quản đông lạnh để điều trị trong tương lai.
3Cấy ghép tế bào
Các nguyên bào sợi da được nuôi cấy được cấy ghép vào các vùng da có nếp nhăn hoặc chảy xệ bằng cách sử dụng ống tiêm.
Sau khi các tế bào được cấy ghép ổn định, chúng bắt đầu phục hồi mô da lão hóa.
Hiệu quả điều trị có thể được quan sát thấy ngay sau một tháng, mặc dù nhìn chung, phải mất khoảng ba đến sáu tháng.
Nên thực hiện lần điều trị thứ hai sau khoảng 5 ngày đến 1 tuần sau lần điều trị đầu tiên để giúp ổn định các tế bào được cấy ghép hơn nữa.
4Kiểm tra và bảo dưỡng thường xuyên
Kiểm tra định kỳ sau điều trị là miễn phí. Nếu bạn có kế hoạch đến Nhật Bản, vui lòng liên hệ với chúng tôi hoặc đến phòng khám của chúng tôi để được tư vấn.
Để duy trì hiệu quả điều trị, nên tiến hành cấy ghép tế bào sau mỗi 1 đến 2 năm sau lần điều trị đầu tiên.
Các ca điều trị (Thực hiện tại Phòng khám RD)
Ca 1. Nữ 48 tuổi, điều trị 2 lần trên toàn bộ khuôn mặt

Trước điều trị

Sau điều trị (2 tuần sau)
Ca 2. Nữ 55 tuổi, điều trị 2 lần toàn bộ mặt

Trước điều trị

Sau điều trị (2 tuần sau)
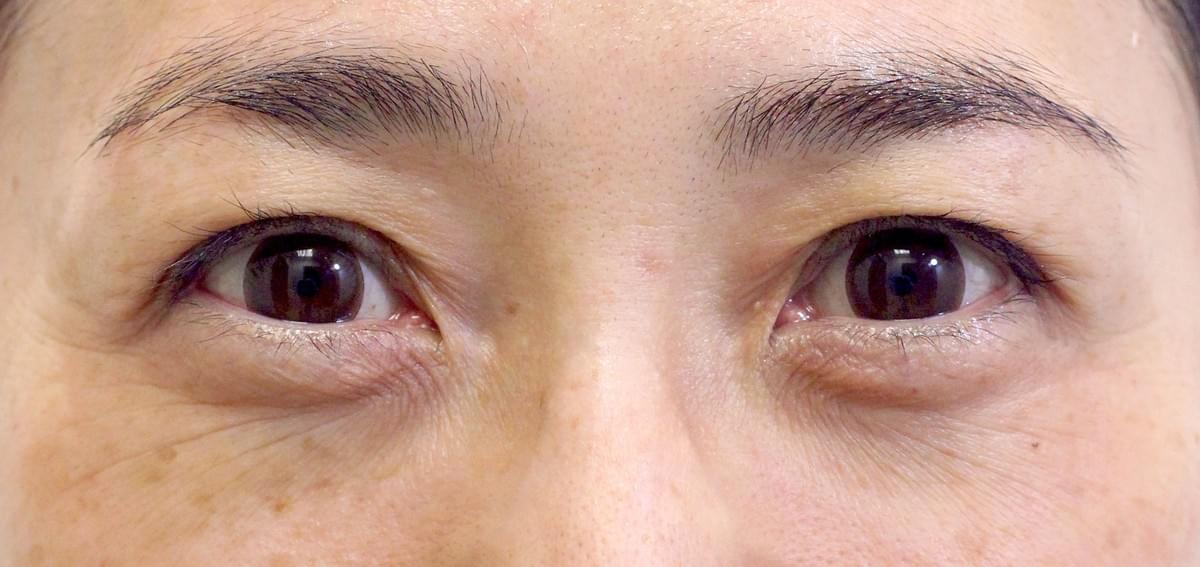
Ca 3. Nữ 45 tuổi, điều trị 2 lần quanh mắt

Trước điều trị

Sau điều trị (2 tuần sau)
Ca 4. Nữ 59 tuổi, điều trị 2 lần ở nếp gấp mũi má và quanh miệng

Trước điều trị

Sau điều trị (2 tuần sau)
Ca 5. Nữ 61 tuổi, điều trị 2 lần nếp nhăn ở trán

Trước điều trị

Sau điều trị (2 tuần sau)
© 2024 All right reserved.










